MARPE — Non-Surgical
Palate Expansion for Adults

understanding the treatment

MARPE stands for Miniscrew-Assisted Rapid Palate Expansion. It's an orthodontic appliance that gently and gradually widens the upper jaw (maxilla) by separating the two halves of the palate along the midpalatal suture — without the need for surgery.

Unlike traditional expanders that only work well in growing children, MARPE uses four tiny titanium mini-screws anchored into the palate bone to apply controlled force. This makes it effective even after the palate suture has fused in adulthood.

❋ placement

The appliance is bonded to your upper molars and secured with four small miniscrews placed comfortably into the palate under local anesthesia.

❋ activation

You turn a small key in the expander once or twice daily as directed. Each turn moves the two halves of the palate apart by a fraction of a millimeter.

❋ expansion

Over several weeks, the suture opens and new bone fills the gap. A small temporary space between the front teeth is a normal sign of progress.

❋ retention

Once the target width is reached, the expander stays in place for 6–9 months to let the new bone solidify before it's removed.

making the right choice

MARPE vs. jaw surgery (SARPE)

Miniscrew-Assisted Expansion

  • No general anesthesia or hospitalization

  • Performed entirely in-office

  • Minimal downtime — most patients return to work the next day

  • Lower overall cost and fewer appointments

  • High success rate in adults up to their mid-40s

  • Minor temporary discomfort after placement

Surgically Assisted Expansion

  • Requires general anesthesia in a hospital setting

  • Involves cuts to the palate bone by an OS

  • Recovery of 1–2 weeks with significant swelling

  • Higher cost; may require medical insurance coordination

  • May still be necessary for complex skeletal cases

  • Post-surgical discomfort and dietary restrictions

week 1: consultation & 3D imaging

Every patient is different, but here is a typical roadmap from consultation to completion:

your MARPE treatment timeline


week 3: appliance placement

weeks 3-10: active expansion phase

months 3-9: bone consolidation

month 9-10: appliance removal

If you've been told you need jaw surgery to widen your palate, there may be a better option. MARPE (Miniscrew-Assisted Rapid Palate Expansion) offers adults a clinically proven, minimally invasive alternative.

common questions
  • Most adults describe the placement as minor pressure rather than pain, similar to getting a filling. In the first few days after placement and after each activation, you may feel a sense of pressure or mild tenderness across the roof of your mouth and between your eyes. Over-the-counter pain relievers are usually sufficient. The discomfort typically fades within a day or two of each activation.

  • There is a short adjustment period of about 1–2 weeks where speech may sound slightly different (a mild lisp is common). Most patients adapt quickly. You should avoid very hard or sticky foods during treatment, but soft foods, normal meals, and drinking are all fine. Most patients feel comfortable enough to return to work the day after placement.

  • No. A gap (diastema) between the upper front teeth is a normal and expected sign that expansion is working. It closes naturally as the suture fills with bone, and any remaining spacing is corrected during the subsequent braces or aligner phase. Patients are warned to expect this so it doesn't come as a surprise.

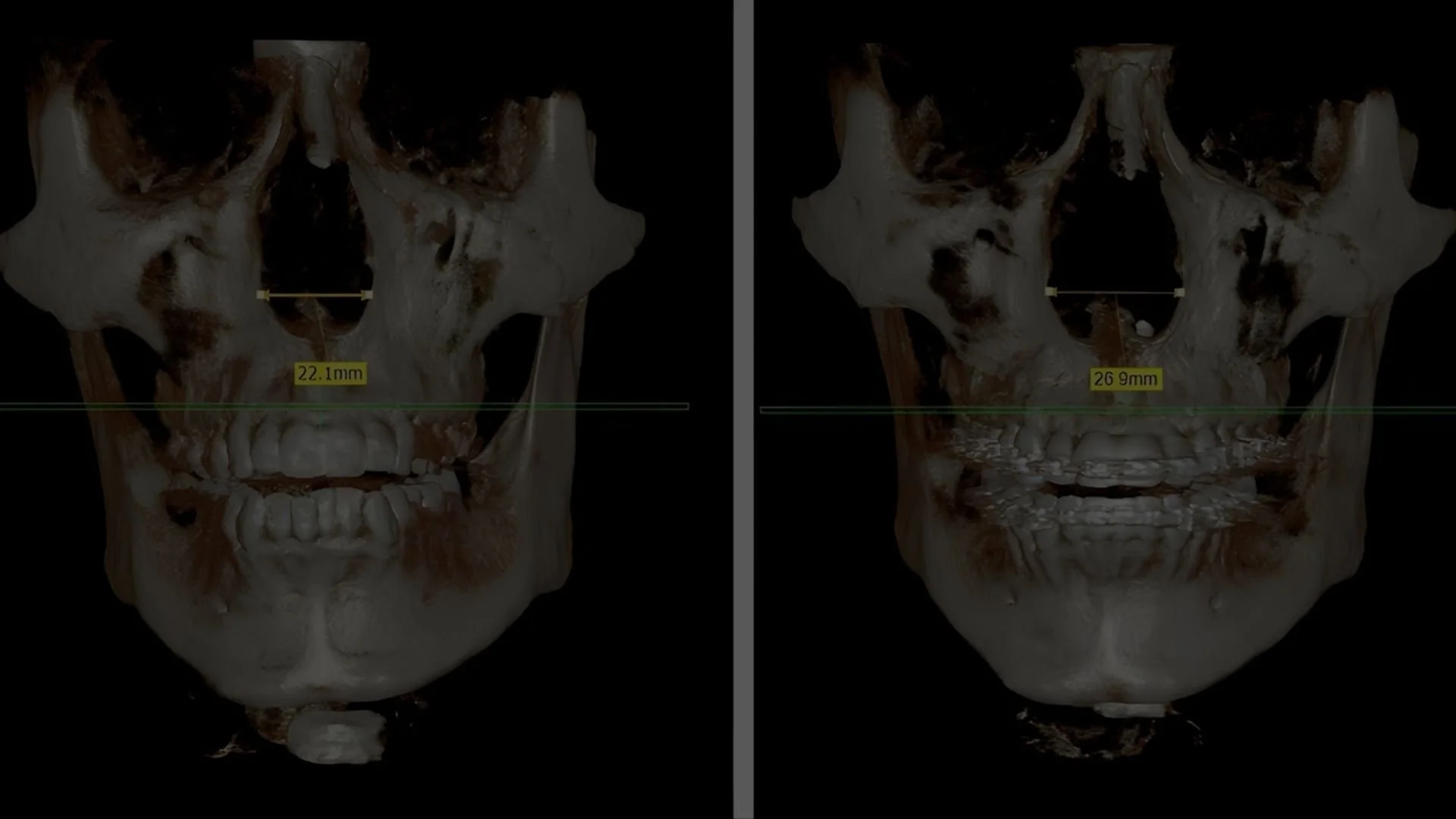
  • A cone beam CT scan is the most important diagnostic tool. It allows Dr. Yoon to assess the density and fusion of your midpalatal suture — the main factor that determines whether MARPE will be effective without surgery. Most adults under 45 with a partially or incompletely fused suture are good candidates. Dr. Yoon will give you an honest assessment after reviewing your scan.

  • For most patients, MARPE is the first phase of a comprehensive orthodontic plan. After the expander is removed and the bone has stabilized, braces or clear aligners are used to align the teeth within the newly widened arch. Some patients with mild crowding may need limited treatment only. Dr. Yoon will outline the full treatment plan before you begin so there are no surprises.

have more questions?